Инкубационный период индийского штамма

Инкубационный период коронавируса, появившегося в Ухане, британской вариации инфекции и других штаммов составляет 2-14 дней, в редких случаях он растягивается на 21 день.
Когда речь идет о самом распространенном сегодня варианте инфекции — индийском, то ситуация выглядит иначе. С момента заражения до появления первых симптомов Дельта штамма коронавируса проходит меньше времени — всего 3-4 дня. При этом большинство людей даже не догадываются о том, что заражены, свободно общаются с другим и распространяют вирус. Среди зараженных индийским штаммом немало детей и подростков.
Особенность штамма Дельта в том, что он практически не вызывает кашля, заболевший человек может иметь нормальную или субфебрильную температуру, но у него даже в таком состоянии наступает тяжелое поражение легких. У взрослых и пожилых людей очень быстро увеличивается площадь поражения легочной ткани. У детей и взрослых на фоне заражения появляется насморк, кашля практически не бывает. Если температура повышается, то она растет очень быстро и сбить ее крайне сложно.
Если перед более ранними штаммами коронавируса дети и подростки были практически неуязвимы, то штамм Дельта опасен и для них. У детей ухудшается общее состояние, а после выздоровления возникают осложнения со стороны внутренних органов.
Что отслеживает Роспотребнадзор и другие органы
С началом мировой эпидемии коронавируса в повседневный лексикон российских граждан плотно вошли несколько новых терминов, в том числе понятия карантина и самоизоляции. Они не тождественны друг другу.
Карантин предполагает режим строгой изоляции гражданина от внешнего мира. Лицо на нем не контактирует ни с кем, кроме медицинских работников и ограниченного круга лиц, которые находятся на изоляции вместе с ним. Этот режим устанавливается для лиц, имеющих подтвержденный диагноз COVID-19 или контактирующих с больным. Кроме того, в соответствии с действующими правилами, в изоляции обязаны находиться граждане, прибывшие в РФ из заграничной поездки и не получившие отрицательного теста на коронавирус. За его соблюдением следят Роспотребнадзор и другие уполномоченные органы.
В отличие от карантина, самоизоляция — это добровольный режим, которого вправе придерживаться здоровые люди. Самоизоляция предполагает максимальное сокращение социальных контактов — чем меньше человек общается с другими людьми, тем меньше риск заражения и, соответственно, передачи коронавируса дальше. Добровольная самоизоляция — это мера, с помощью которой каждый человек имеет возможность препятствовать распространению вируса. Чем больше людей добровольно сокращают имеющиеся у них контакты, тем больше шансов у всего общества победить пандемию.
Самоизоляция — дело добровольное, ее соблюдение не отслеживает ни Роспотребнадзор, ни другие органы.
Роспотребнадзор и другие уполномоченные органы отслеживают:
- соблюдение карантина лицами, которым он официально предписан;
- соблюдение противоэпидемиологических норм, которые введены в конкретном регионе РФ. В частности, в разные периоды эпидемии устанавливались различные ограничительные меры, например, ограничивалось время работы заведений общепита. В конце февраля – начале марта 2021 года эти меры стали постепенно сниматься, но ситуация с ними неодинакова в разных регионах РФ.
Исходы заболевания
Вероятность быстрого и полного выздоровления
зависит от состояния иммунной системы, наличия сопутствующих заболеваний,
своевременности оказанной медицинской помощи.
Благоприятный исход
У людей молодого и среднего возраста с хорошим иммунитетом заболевание протекает в легкой или стертой форме. В этом случае коронавирусная инфекция не отличается от других ОРВИ, она не сопровождается осложнениями. Длительность болезни у таких пациентов — около 10 дней, но кашель может сохраняться немного дольше.
Неблагоприятный исход
При осложненном течении вирусной инфекции от
манифестации заболевания до развития патологий легочной системы проходит 7-8
дней. Длительность тяжелых и критических форм болезни составляет 3-6 недель, а
смертельные случаи наблюдались через 2-8 недель от начала болезни.
В группе риска находятся:
- пожилые люди;
- пациенты с первичными и вторичными
иммунодефицитами; - люди с хроническими заболеваниями
органов дыхания; - больных сахарным диабетом;
- пациенты с аутоиммунными
патологиями.
Осложнения коронавирусной инфекции связаны со специфическим действием возбудителя на легочную ткань. КОВИД 19 снижает выработку сурфактанта — поверхностно-активного вещества, которое препятствует слипанию легких на выдохе. При этом у пациента возникает дыхательная недостаточность, кислородное голодание тканей.
При поступлении пациентов в стационар
наблюдались следующие симптомы:
- лихорадка — 83%;
- кашель — 82%;
- одышка — 31%;
- миалгии — 11%;
- спутанность сознания — 9%;
- головные боли — 8%;
- боли в горле — 5%.
Данные этого исследования опубликованы The Lancet. Они основаны на изучении клинического течения тяжелых форм заражения коронавирусом у 99 пациентов.
Кому делать КТ в первую очередь
КТ при легкой форме коронавируса не назначают. Врачи дают направление на диагностику в срочном порядке пациентам в случае среднетяжелого течения болезни при:
- температуре выше 38 градусов;
- частоте дыхательных движений более 22 раз в минуту;
- одышке при нагрузке;
- сатурации ниже 95%;
- бледности и синюшном оттенке кожных покровов;
При тяжелой форме болезни с:
- температурой выше 39 градусов;
- частотой дыхания более 30;
- сатурацией 93% и ниже;
- нарушением сознания;
- возбуждением;
- падением артериального давления ниже 90/60 мм. рт. ст.
При крайне тяжелой форме коронавируса:
- со стойким повышением температуры более 38 градусов;
- частотой дыхания более 35 раз в минуту;
- острой дыхательной недостаточностью;
- септическим шоком;
- полиорганной недостаточностью.
Кроме показаний при направлении на томографию врачи учитывают результат теста на коронавирус.
Делать ли детям
Облучение во время компьютерной томографии может нанести вред здоровью ребенка. Поэтому процедуру не назначают без крайней на то необходимости.
Направляют на КТ легких детей в случае сильного кашля, одышки. Диагностика позволяет определить состояние дыхательного органа и объем поражения. Перед тем, как сделать КТ ребенку, медики должны получить письменное согласие родителей или опекунов.
Согласны ли вы с мнением, что пандемия прекратится только когда переболеют 70% людей на Земле?
Да 48.22%
Нет 31.23%
Не хочется в это верить
20.56%
Проголосовало: 6863
На какой день болезни делать
Важную роль при коронавирусе имеют сроки, когда проводится томография. Пневмония во время инфекционного процесса развивается не сразу. Снимок, сделанный вскоре после начала болезни, не покажет истинной картины.
Первые воспалительные очаги возникают не ранее, чем на 4-5 день с момента появления симптомов. Наиболее информативна томография в период с 6 по 11 дни заболевания. Именно тогда врачи советуют делать обследование. Раньше проходить томографию нежелательно, а в более поздний срок — можно.
Как часто делают КТ
Записываться на томографию без показаний не нужно. Этот метод обследования отличается от других видов томографии более высокой радиационной нагрузкой. Поэтому врачи категорически не рекомендуют самостоятельно “назначать” себе КТ “ради спокойствия”.
Большинству людей с коронавирусной болезнь достаточно пройти 1 процедуру. В случае тяжелого течения повторную томографию делают спустя 2-3 недели. Еще раз повторяют (строго по предписанию врача) КТ для контроля за состоянием дыхательного органа после реабилитации (через 5-6 месяцев).
Внимание! Минимальный допустимый интервал между двумя процедурами — 1 неделя.
Тест на коронавирус для перелета по России
Для перелета в пределах России тест не нужен. Справку не будут требовать. Она не нужна ни персоналу аэропорта, ни экипажу. Но свободно перемещаться без нее не во всех регионах возможно. Есть области, где местные власти могут потребовать от прибывших подтверждение того, что они не являются носителями КОВИД-19. Именно поэтому путешественникам иногда приходится сдавать экспресс тест на коронавирус в аэропорту.
Кто должен сдать анализ при перемещении по РФ

Необходимость проверяться на коронавирус стоит перед теми, кто часто ездит по стране. Перед тем, как отправиться в путь, стоит заранее ознакомиться с требованиями к прибывающим, которые выставляются в регионах. По прибытии представители местной власти могут потребовать предъявления результатов ПЦР-анализа, электронного кода. Справку не обязательно просят в аэропорту. Показать её могут попросить в гостинице.
В некоторых регионах, где уровень заболеваемости особенно высокий, для всех приезжих, у которых нет документов о тестировании, действует режим карантина. Придется придерживаться его и тем, кто приезжает из регионов “красной зоны”.
Для поездки в Москву и Санкт-Петербург
Власти Москвы и Санкт-Петербурга не требуют от приезжающих предъявления справок с результатами теста на коронавирус и о благополучном эпидокружении. В обеих столицах все еще актуален запрет на ночную работу ресторанов, баров, клубов. Но в Санкт-Петербурге не только активно рекламируются излюбленные туристами маршруты, а уже проводятся “живые” экскурсии.
Тем, кто прилетает в столицу из других российских городов, не приходится демонстрировать справку. Приезжих селят в отели, они могут свободно передвигаться по городу.
Дорогой читатель, мы собрали всю самую важную и актуальную информацию о COVID-19 на 1 странице — главное о коронавирусе.Также, доступна актуальная статистика по: России, Москве, Подмосковью и городам, СпБ и всем регионам РФ и странам мира.
Для отдыха в южных регионах
Для поездки по южным регионам России нужен тест на коронавирус не везде. Например, в канун новогодних праздников были отменены обязательные тесты для приезжающих в Сочи. Власти города подстраховались, открыв дополнительный госпиталь. Но вспышки заболеваемости в городе не возникло. Не требуется тестирование для приезжающих на курорт и сегодня.
Тем, кто направляется в Крым, не нужно подтверждение эпид безопасности в виде результата тестирования. При въезде в Абхазию, как и при посещении Сочи, не нужен тест или справка об отсутствии контактов с больными коронавирусом.
В республику Бурятия
Туристам, мечтающим полюбоваться красотой Байкала и другими достопримечательностями Бурятии, стоит обратить внимание на дифференцированные требования. Результаты теста на COVID-19 по прилету нужно предъявить гостям из городов и областей с неблагополучной эпидобстановкой
К таким причислены:
- Красноярск;
- Хабаровск;
- Новосибирск;
- Москва.
Сдать тест на коронавирус можно прямо в аэропорту Улан-Удэ. Жителями Иркутска и области тестирование не нужно.
В Ставропольский Край
Для приезжающих в Ставрополье действует требовании о предъявлении QR-кода. Его можно получить на страничке “Госуслуг”. Электронный код аналогичный тому, который в апреле действовал на территории Москвы. Предъявить код нужно при входе в ресторан, кафе Ессентуков, Кисловодска, Минвод, Пятигорска.
Для приезжих в Ставрополье действуют ограничения:
- нельзя заселяться в частные квартиры и отели кроме тех случаев, когда люди путешествуют в связи с производственной необходимостью;
- приехав в Ставропольский Край, необходимо сообщить о месте пребывания и дате прибытия (на горячую линию по телефону + 7-8652-36-78-74 или +7-962-448-59-80);
- сразу после приезда необходимо сдать тест на коронавирус или пройти двухнедельный карантин.
От приехавших в здравницы Ставрополья по путевкам не требуется прохождение карантина. Но они должны предъявить справку о благополучном эпидокружении за последние 14 дней, полученную не более, чем за 3 суток до прибытия в санаторий.
Согласны ли вы с мнением, что пандемия прекратится только когда переболеют 70% людей на Земле?
Да 48.22%
Нет 31.17%
Не хочется в это верить
20.6%
Проголосовало: 6814
Лечение
Сейчас в стране три зарегистрированных препарата с действующим веществом: «Авифавир», «Арепливир» и «Коронавир», которые применяются для уничтожения вируса. Стоимость препарата «Арепливир» составляет 12 320 руб.
Обязательно соблюдение самоизоляции,
постельный режим в периоде разгара болезни, обильное питье. При коронавирусной
инфекции проводится поддержка витальных функций организма, симптоматическая
терапия.
Используются жаропонижающие средства (в основном — парацетамол), противокашлевые препараты. При развитии дыхательных нарушений применяют методы кислородной поддержки, искусственную вентиляцию легких.
Симптомы коронавируса у взрослого человека
ВОЗ сообщает о 4 основных признаках новой коронавирусной инфекции:
- повышение температуры тела до фебрильных цифр;
- сухой кашель;
- повышенная утомляемость;
- нарушение или потеря обоняния и вкуса.
Такие проявления наблюдаются при типичном протекании болезни. Если инфекция перешла в тяжелую форму с двусторонним поражением легких, присоединяется одышка в покое и при физической нагрузке.
К менее распространенным признакам COVID-19 относятся:
- боли в мышцах и суставах;
- головные боли;
- заложенность носа;
- кровохарканье;
- спутанность сознания;
- мелкие красные высыпания на коже;
- рвота и диарея;
- спазмы в животе.
Недавно эксперты ВОЗ сообщили о новом проявлении инфекции — покраснении глаз, вызванном вирусным конъюнктивитом. Симптом возникает при контакте слизистой глаза с аэрозолем, содержащим частицы возбудителя SARS-CoV-2. Гиперемия конъюнктивы возникает у 1-3% пациентов среди всех инфицированных коронавирусом.
Варианты протекания COVID-19
Врачи называют 3 сценария развития коронавирусной инфекции, которые возникают после заражения:
- Бессимптомное носительство. При этом у человека нет внешних признаков респираторной патологии и отсутствуют морфологические проявления поражения легких. Такой пациент опасен для окружающих, поскольку он может заразить других людей.
- Малосимптомная болезнь. COVID-19 может протекать как типичная ОРВИ с насморком и покашливанием, субфебрильной лихорадкой или вовсе с нормальной температурой тела. Симптомы возникают постепенно, состояние остается удовлетворительным.
- Активный процесс. При таком варианте болезнь начинается с высокой лихорадки, мучительного кашля, утраты обоняния и других специфических признаков. Существует риск развития пневмонии и тяжелых осложнений.
Несмотря на большое количество заболевших, медики до сих пор затрудняются в определении типичной клинической картины. Возможно, это связано с мутацией вируса, о которой недавно рассказали ученые из клиники в Хьюстоне. Они обнаружили мутацию D614G, которая повышает вирулентность возбудителя и помогает ему “укрыться” от иммунной системы человека. Именно с изменениями в геноме врачи связывают наступление в городе второй волны коронавируса.
Симптомы тяжелой формы

Симптомы тяжелой формы коронавируса нарастают очень быстро. На 5-8 день болезни внезапно усиливается кашель, становится трудно сделать вдох. Дыхательная недостаточность постепенно усиливается, а затяжные приступы кашля особенно беспокоят в ночное время.
Распознать тяжелое течение коронавируса можно по таким симптомам:
- сильная одышка появляется даже при незначительной физической активности;
- беспокоит сильная слабость;
- температура повышается после нескольких дней нормальных показателей термометрии;
- лихорадка с температурой выше 38,5 держится более 4 дней;
- возникает чувство тяжести и сдавливания в груди.
При тяжелом течении болезни иммунитет не в силах справиться с инфекцией. Больному человеку требуется максимально быстрая госпитализация и интенсивное лечение.
В какой форме вы переболели коронавирусом?
В бессимптомной 8.76%
В лёгкой форме 34.79%
В средней форме 29.03%
В тяжелой форме 27.42%
Проголосовало: 434
Отличие тяжелой формы коронавируса от легкой
Первые дни болезни большинство людей переносит относительно легко. У них появляется першение в горле, заложенность носа, слабость, может повыситься температура тела. На 5-7 день наступает улучшение либо болезнь переходит в более тяжелую форму.
Основной признак того, что патологический процесс стал более тяжелым — появление одышки, которая только усиливается. После периода относительно нормального самочувствия поднимается температура. Ее трудно сбить жаропонижающими средствами, нарастает слабость.
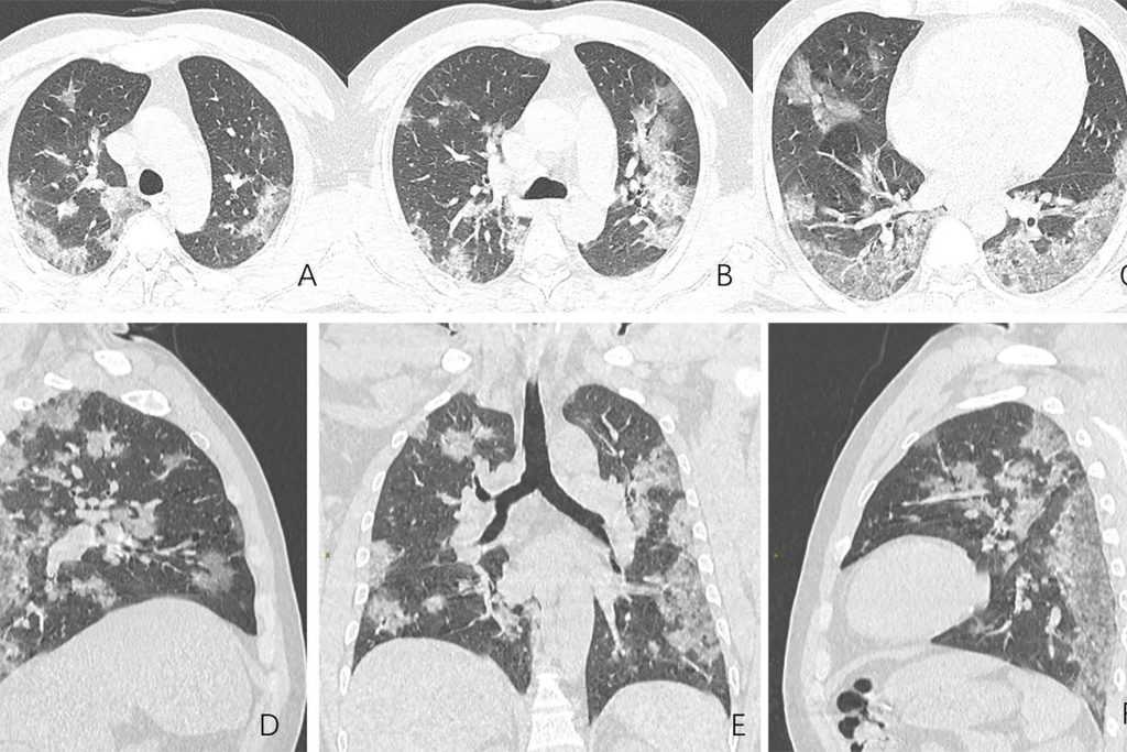
Объективно судить о том, что человек страдает тяжелой формой коронавируса позволяет томография легких. На снимках видно, что более половины площади органа поражено (возникает эффект матового стекла).

Если при легкой среднетяжелой форме люди болеют коронавирусом 7-14 дней, то тяжелая форма болезни длится до 2 месяцев. Много времени требуется и на восстановление. В течение нескольких месяцев переболевший испытывает сильную слабость, трудности с дыханием, у него возникают приступы паники, депрессивное настроение.
В случае перехода инфекционного процесса от легкой или среднетяжелой формы на 5-7 день может развиться цитокиновый шторм. Это состояние связано с неадекватной, слишком бурной реакцией организма на вирус. При ней иммунная система атакует собственные клетки.
Дорогой читатель, мы собрали всю самую важную и актуальную информацию о COVID-19 на 1 странице — главное о коронавирусе.Также, доступна актуальная статистика по: России, Москве, Подмосковью и городам, СпБ и всем регионам РФ и странам мира.
Пневмония при тяжелой форме
Коронавирусная пневмония отличается от обычного воспаления легких при бактериальной или вирусной инфекции. Это — пневмонит, при котором страдает интерстициальная ткань легких, а в мелкие сосуды, питающие их, закупориваются тромбами.
О развитии пневмонита при коронавирусе может свидетельствовать высокая температура тела дольше 4-5 дней, сильная одышка, когда человек находится в покое. Болезнь также сопровождается мучительными приступами кашля, головными болями и слабостью.
Более подробно о пневмонии при коронавирусе можно прочитать в нашей статье.
Меры профилактики
На текущее время, в России зарегистрированы три вакцины от коронавируса. Первая — разработка института им. Гамалеи Минздрава России, получившая название «Спутник V», вторая — «ЭпиВакКорона» научного центра «Вектор» Роспотребнадзора была зарегистрирована 14 октября. Массовую вакцинацию препаратом от коронавируса «ЭпиВакКорона» планируется начать в 2021 году, до этого, в ноябре или декабре 2020 года, начнутся пострегистрационные исследования. На территории США и Китая уже началось тестирование вакцины на добровольцах. Подробно о профилактических мерах от коронавируса мы написали отдельную статью.
Профилактика коронавируса — рекомендации Роспотребнадзора
Для предупреждения инфицирования следует
придерживаться таких правил:
- как можно чаще мыть руки с мылом (не менее 40 сек.) либо использовать антисептики с концентрацией спирта более 60%;
- находясь в общественных местах, не прикасаться к руками к лицу;
- сократить количество поездок в городском транспорте;
- уменьшить время пребывания в людных местах — торговых центрах, рынках, кинотеатрах;
- ограничить социальные контакты, не подходить к другим людям ближе, чем на 1 метр;
- увлажнять слизистые оболочки носа специальными солевыми растворами.
Обратите внимание! Как показывает мировая практика,
наиболее действенный способ избежать заражения — самоизоляция. Врачи
рекомендуют как можно реже выходить на улицу, перейти на дистанционное обучение
или работу, делать покупки в Интернете с доставкой на дом
В каких случаях нужно носить медицинскую маску
По рекомендации ВОЗ надевать маску следует в
таких ситуациях:
- при оказании помощи человеку с подозрением на заражение КОВИД-19;
- при наличии симптомов респираторной инфекции.
Здоровым людям при нахождении на улице нет
необходимости использовать маску. Специалисты ВОЗ утверждают, что при ношении
масок не следует забывать про регулярное мытье рук водой с мылом либо
антисептическую обработку.
Носить маску нужно так, чтобы она полностью закрывала рот и нос, плотно прилегала к лицу. Ее нужно регулярно менять.
Эксперты статьи
Материал подготовлен на основании работ докторов, медицинских исследователей и врачей. Статья постоянно обновляется, рецензируется и редактируется.
Natalie Lambert, PhD
Associate Research Professor of Medicine
USA, Indianapolis, IN
Humberto Choi, MD
Pulmonologist specialized in thoracic oncology and a medical intensivist
USA, Cleveland Clinic Main Campus
Joshua Lee Denson, MD, MS
Assistant Professor. Associate Director Pulm/CCM Fellowship Program
USA, Tulane University School of Medicine, New Orleans, LA
Sapna Kudchadkar, M.D., Ph.D
Associate Vice Chair for Research, Anesthesiology and Critical Care Medicine
USA, Johns Hopkins School of Medicine
Панков Алексей, К.М.Н.
Врач по рентгенэндоваскулярным диагностике и лечению, сосудистый хирург
Волынская больница УД Президента РФ, Москва
Gad Heilweil, MD
Vitreoretinal surgery, Retinal and macular diseases
USA, Doheny Eye Center UCLA Pasadena
Shilpi Khetarpal, MD
Department Dermatology
USA, Cleveland Clinic Main Campus
Richard L. Doty, PhD
Director, Smell and Taste Center. Professor of Psychology in Otorhinolaryngology: Head and Neck Surgery
USA, Penn Smell and Taste Center, Hospital of the University of Pennsylvania
Dr Valentina Puntmann, MD, PhD, FRCP
Assoc. Prof. Consultant Cardiologist (Cardiovascular Magnetic Resonance Imaging)
Germany, Goethe University Hospital Frankfurt, Frankfurt.
Richard L Deem
Basic science research with expertise in molecular biology, cellular biology, and immunology.
USA, Cedars-Sinai Medical Center. Inflammatory Bowel & Immunobiology Research Institute
Sandhya Mehla, MD
Headache specialist and vascular neurologist
Hartford HealthCare Medical Group
Александров Павел, врач высшей категории
Врач-инфекционист, детский инфекционист, паразитолог, гепатолог, вирусолог
Россия, медцентр «О-Три», Санкт-Петербург
Нужна ли прививка от КОВИД при выезде

С первых дней массовой вакцинации в российских СМИ обсуждался вопрос о том что выехать за границу без прививки от коронавируса гражданам страны будет непросто. Такое предположение подогревалось и тем, что Президент РФ рассказал о планах создания паспорта иммунизации от КОВИД.
Но введение такого документа в бумажном или электронном виде ставит под угрозу соблюдение гражданских прав отдельных категорий россиян. По словам спикера Совета Федерации, Валентины Матвиенко, длительность эффекта от вакцины пока до конца неизвестна, поэтому срок действия паспорта тоже под вопросом.
Привитым выдается сертификат. Именно он и является подтверждением того, что человек получил вакцины. Такой документ в некоторых регионах РФ дает гражданам преимущества. Например, в Москве пенсионеры после прививки получат возможность пользоваться льготой на проезд в общественном транспорте, которая приостановлена на период пандемии.
Для многих решение вакцинироваться было принято в связи с необходимостью перемещаться по миру. Люди опасались, что не смогут получить визу или приобрести билеты на самолет.
На деле, официальных заявлений со стороны руководства зарубежных стран о том, что на их территорию будут впускать исключительно привитых, нет. Кроме того, если прививочный паспорт и будут требовать, то в нем должно будет указано, что человек получил дозу зарегистрированной вакцины. Российские прививки, как и продукт китайского производства, пока таковыми не являются. Поэтому внутрироссийский паспорт иммунизации за границей не будет действителен.
Велика вероятность того, что при въезде в Беларусь и Казахстан привитым россиянам не придется сдавать ПЦР-тест. Также такое право будет предоставлено гражданину РФ при въезде в другие страны, где вакцина Спутник V зарегистрирована.
Вы уже переболели коронавирусом?
Да 60.72%
Нет 13.67%
Не знаю, может бессимптомно переболел(а)
25.61%
Проголосовало: 30847


















































