Как понять, что поражены легкие при коронавирусе: первые симптомы
На начальных стадиях развития пневмонии пациент не ощущает особых изменений – заболевание часто протекает без температуры и кашля. Это связано с отсутствием в легочных тканях нервных окончаний
Поэтому важно отслеживать второстепенные симптомы, указывающие на развитие воспалительного процесса при коронавирусе. Из них выделяют:
- навязчивый сухой кашель;
- трудности с дыханием после нагрузок;
- першение в горле;
- стабильная температура, которую не получается сбить.

Также отмечают общую слабость и головные боли. С прогрессированием заболевания, симптомы нарушения дыхания становятся более явными – человек ощущает одышку, даже в состоянии покоя. Позднее возникают боли в области груди, распространяющиеся на спину и плечи.
Когда при коронавирусе нужно делать КТ легких?
Согласно принятой классификации выявленных патологических изменений, стандарт «КТ1» соответствует менее 25% поражению легких, «КТ2» — 35-50%, «КТ3» — 50-75%, «КТ4» — 75% и более. Особенность пневмонии, вызванной новым коронавирусом COVID-19, заключается в том, что переход осложнения в более тяжелую форму происходит быстро.
В отличие от рентгена, КТ покажет поражение легких 5% и менее — врач-рентгенолог видит даже единичные участки инфильтрации диаметром от 4-5 мм. По рентгеновскому снимку не определить пневмонию, соответствующую КТ1, а иногда и КТ2. При наличии характерных симптомов, даже в легкой форме, и положительного теста на COVID-19, нет необходимости ждать, пока инфекция интенсивнее распространится и вызовет поражение больших участков легких.
КТ легких показана при:
- Температуре 38 градусов;
- Частоте дыхания > 22 в минуту;
- Одышке / кашле / боли в груди;
- Сатурации крови
КТ при коронавирусе делают даже в том случае, если тест на COVID-19 показывает отрицательный результат, а на рентгене не выявлены существенные изменения легочной ткани (очаги могут быть еще небольшими, на снимке могут быть артефакты и тени) — при этом пациента беспокоят вышеуказанные симптомы, не исключен контакт с больными в прошлом.
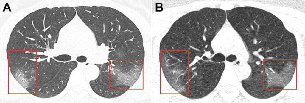
Поражение легких при вирусной пневмонии

Инфильтрация легких при вирусной пневмонии на 3D-реконструкции дыхательных путей (КТ-3)

Для сравнения — так выглядят легкие в норме

Симптом «матового стекла» (инфильтраты) при вирусной пневмонии на посрезовых КТ-сканах

Стадии коронавируса: КТ-1, КТ-2, КТ-3, КТ-4

Фиброз легких
Вирусно-бактериальная пневмония
В некоторых случаях вирусная пневмония осложняется присоединением вторичной бактериальной инфекции. Так бывает, например, при респираторно-синцитиальном вирусе и коронавирусе (манифестируется на 6-7 сутки, сопутствует более выраженному отеку легочной ткани). Лечение вирусно-бактериальной пневмонии проводится с применением курса антибиоткиков, которые подбираются только после точного определения вида бактериальной инфекции.
Признаки пневмонии
Для наиболее распространенной вирусной пневмонии (вернее для «пневмоний») характерны следующие симптомы:
- Кашель любого характера: сухой, влажный, с мокротой, гнойным отделяемым, кровью.
- Температура — у больного может быть и жар (39-40 градусов), и слегка повышенная температура тела.
- Боль и дискомфорт в груди.
- Одышка и хрипы в груди, которые можно услышать при прослушивании легкого.
- Ощущение нехватки воздуха.
- Спутанность сознания.
- Упадок сил.
- Боль в горле.
- Боль в мышцах и суставах.
Важно! Пневмония может протекать абсолютно бессимптомно, а иногда наличие даже 1-2 признаков указывает на поражение легких
ВАЖНО!
Как обезопасить себя от пневмонии?
1. Вакцинироваться от пневмококка
Самая частая причина внебольничной пневмонии – это пневмококковая инфекция. Вакцинация от пневмококка дает иммунитет на 5 – 10 лет, если вы провакцинировались 13-валентной вакциной, то она гарантирует пожизненный иммунитет. Стафилококк, стрептококк и гемофильная палочка – эти бактерии чаще всего являются причинами вторичных бактериальных пневмоний.
2. Увлажнять воздух
Увлажнение воздуха в помещении достоверно снижает риски возникновения в бронхах слизистых гнойных пробок, которые ведут к закупориванию бронхов, к образованию в бронхах сухой мокроты и развитию там инфекции. Поэтому, если влажность воздуха будет выше 40%, то есть шансы на то, что бактериальная пневмония развиваться не будет
Важно понимать, что бытовые увлажнители воздуха нужно вовремя чистить
Симптомы атипичной пневмонии и COVID-19
Что означает термин «атипичная пневмония»? Его используют, когда хотят подчеркнуть, что воспаление легких вызвано такими микроорганизмами или причинами, которые дают сложную и непредсказуемую клиническую картину. В этом случае наблюдается атипичное течение заболевания, возможны рецидивы и осложнения, которые потребуют длительной реабилитации.
К атипичной пневмонии относится воспаление легких, вызванное микоплазмой, хламидией. В этом случае, как и при COVID-19, у взрослых наблюдаются симптомы:
- Одышка и нехваток воздуха;
- Потеря обоняния;
- Сильный сухой кашель, который со временем переходит во влажный с отделяемым;
- Общее плохое самочувствие: даже температура 37 градусов переносится тяжело и держится долго;
- Боли в мышцах и суставах;
- Боли в грудной клетке.
Также как и в случае с обычной пневмонией, у некоторых наблюдается и бессимптомное течение заболевание. При коронавирусе у больного может быть насморк с потерей обоняния, при этом не бывает чихания (в отличие от простуды и гриппа).
Достоверно выявить или исключить пневмонию можно только с помощью компьютерной томографии легких. На томограмме легких видны очаги поражения дыхательных путей («матовые стекла»). Лабораторные анализы помогут выявить специфических возбудителей воспаления легких по ответной реакции иммунной системы.
Как уберечь легкие при пневмонии — советы врачей
Коронавирусная пневмония, по мнению пульмонологов — не осложнение, а проявление инфекционного процесса. Резкое ухудшение состояния на 7-9 день — признак того, что вирус подорвал иммунную защиту, в легких активизировалась бактериальная инфекция.
Чтобы защитить легкие от поражения врачи рекомендуют:
- сделать прививку от пневмококка — вакцинация обеспечивает иммунитет от опасных для легких бактерий на срок от 5 до 10 лет;
- следить за влажностью воздуха — в помещении она должна составлять не менее 40–45%. Увлажненный воздух препятствует формированию слизистых пробок в бронхах и попаданию инфекции в легкие;
- с первого дня появления симптомов коронавируса употреблять много жидкости для снятия интоксикации, поддержания низкой вязкости и более легкого отхождения мокроты из бронхов, слизи из носа.
При легком и среднетяжелом течение болезни необходимо избегать застоя в легких — двигаться, выполнять несложные упражнения.
По каким признакам можно определить, что поражены ткани легких при коронавирусе
Для определения активного развития воспалительного процесса в легких при коронавирусе были выделены отдельные признаки. По ним можно предварительно определить заболевание без КТ. Если площадь поражения стабильно увеличивается, то такое состояние сопровождается рядом симптомов. Чаще присутствует:
- лихорадка с температурой, не реагирующая на назначенную терапию;
- отсутствие продуктивного кашля после муколитиков;
- невозможность заснуть из-за кашлевого рефлекса;
- возникновение отчетливых хрипов при дыхании;
- изменение цвета кожи и слизистых на бледные оттенки;
- усиленная одышка и невозможность привычной физической нагрузки.

Примером нарушенного дыхания может стать подъем по лестнице. Если ранее человек мог пройти без передышек определенное количество пролетов, то, в результате распространения воспаления, это становится невозможным. Особенно подобное должно настораживать, если даже во время отдыха, есть ощущение нехватки воздуха или возникают затруднения с дыханием.
Вы сразу почувствовали, что у вас коронавирус?
Нет, сначала думал(а) что это обычная простуда 44.52%
Да, почти сразу было понятно 31.58%
Состояние было странным, но я поверил(а) только после положительного теста 23.9%
Проголосовало: 11790
КТ легких при атипичной пневмонии и COVID-19
Сегодня КТ легких считается «золотым стандартом» диагностики пневмоний, поскольку с высокой точностью показывает степень поражения легких даже на ранних стадиях. Чувствительность флюорографии и рентгена существенно ниже. Например, на рентгеновском снимке врач увидит области неоднородного затемнения, которые можно интерпретировать как пневмонию, когда воспаление легких достигло уже 3 и 4 стадии. Погрешность не исключена и при лабораторных анализах. Поэтому наиболее оптимальным видом лучевой диагностики при пневмонии будет современная компьютерная томография, исключающая необходимость в других рентгенографических исследованиях.
Во время эпидемий атипичных коронавирусных пневмоний SARS (2002) и MERS (2012), медики столкнулись с проблемой — неточностью лабораторных тестов. В случае с новой коронавирусной инфекцией COVID-19 приблизительно у 30 пациентов из 100, сделавших анализ крови и мокроты, были отмечены ложноотрицательные результаты. Только когда состояние пациентов ухудшалось, на компьютерной томографии выявлялись клинически значимые области деструкции легочной ткани. Оказалось, что коронавирусная пневмония лучше всего визуализируется на КТ легких. Области поражения альвеол соответствуют «матовым стеклам» — ярко выраженным на сканах КТ светлым участкам легких.
Типичные КТ проявления вирусной пневмонии (в том числе COVID- 19)
Многочисленные уплотнения легочной ткани по типу «матового стекла» преимущественно округлой формы, различной протяженности с/без консолидации, локализуются, большей частью, в периферических, кортикальных отделах, мультилобарные. Поражение чаще носит двусторонний характер (в настоящее время описаны только единичные случаи одностороннего поражения).

Очаги поражения легких при COVID-19
К дополнительным признакам относятся:
- утолщение междолькового интерстиция по типу «булыжной мостовой» (англ. «crazy-paving» sign)
- участки консолидации
- перилобулярные уплотнения
- симптом воздушной бронхограммы
Указанные признаки преимущественно определяются на 5–12 сутки заболевания.
Малотипичные для SARS COVID-19 проявления на КТ ОГК:
- уплотнения легочной ткани по типу «матового стекла» центральной и прикорневой локализации
- единичные солидные узелки
- наличие кавитаций
- плевральный выпот
- лимфоаденопатия
- очаговая диссеминация
- симптом «дерево в почках»
- пневмосклероз/пневмофиброз.
Этиология пневмонии
Такие респираторные инфекции по-разному ведут себя в организме человека: одни поражают альвеолы и интерстиций, другие — бронхиолы, в одних случаях вирусы провоцируют воспаление легких «молниеносно», в течение нескольких суток, в других — постепенно, «спускаются» по носоглотке, трахее и бронхам, вызывая пневмонию только через месяц. Наконец, инфекции предпочитают разные сегменты легких для локализации, а иногда распространяются хаотично и диффузно.
Таким образом, для каждой вирусной пневмонии, в зависимости от типа возбудителя, характерен типический паттерн. Иногда уже по одному «рисунку» пневмонии на КТ-сканах возможно отличить, например, аденовирусную пневмонию от респираторно-синцитиального вируса. Для уточнения типа инфекционного возбудителя пациенту назначается лабораторное исследование (анализ отделяемого из носоглотки, ПЦР, тест на иммуноглобулины и др.).
Вирусной пневмонии, как правило, сопутствует резкое ухудшение самочувствие, высокая температура, симптоматика острого респираторного заболевания (кашель, затрудненное дыхание), интоксикация организма. Однако известны случаи, когда внебольничная пневмония на ранней стадии развивалась без ярко выраженных симптомов, которые сложно отличить от ОРВИ.
Механизм развития вирусной пневмонии следующий — вирус проникает в альвеолоциты (клетки легких), закрепляется в них и начинает размножаться. В результате клетки погибают. В ответ на заражение крови вирусом, лейкоциты и лимфоциты — защитные клетки организма — выделяют цитокины. Однако это приводит к скоплению жидкого экссудата в альвеолах, вследствие чего легочная ткань отекает, а человеку становится трудно дышать, поскольку количество функциональных альвеол — маленьких ячеек, в которых хранится кислород — сокращается.
Атипичная пневмония — это воспаление легких вызванное ранее неизвестным и неопределимым возбудителем, при этом клинические проявления заболевания необычны и не поддаются известной медицинской классификации.
Вирусным пневмониям особенно подвержены маленькие дети и пациенты с иммунодефицитом, поскольку у организма таких пациентов не достаточно защитных ресурсов (антител). Более 90% всех пневмоний у детей — это вирусное поражение легких.

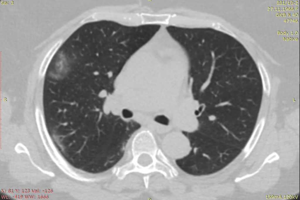
Клинический случай

У пациентки на фоне повышения температуры до 38,5 в течении 5 дней, слабости и потливости появился кашель со слизистой мокротой, потеря вкуса и боли в животе. На КТ ОГК в кортикальном слое легких, преимущественно, в их задне-базальных отделах определяются разнокалиберные участки уплотнения по типу «матового стекла» и консолидации, отдельные из них сращены с утолщенной костальной и задней средостенной плеврой. В плевральных полостях в наличии минимальное количество жидкости. Внутригрудной лимфоаденопатии не выявлено. Объем пораженной паренхимы легких не превышает 25%. Наличие участков консолидации коррелируют с выраженной клинической симптоматикой и присоединением кашля с мокротой.
Леднёв А.Г.
Последствия коронавирусной пневмонии

Проведение лечения от коронавирусной пневмонии, снижение интенсивности симптомов — не означают полного избавления от проблемы. Заболевание оставляет после себя большой негативный след. Осложнения бывают не связаны напрямую с органами дыхания. Отзывы пациентов, перенесших COVID-19, говорят о поражении почти всех внутренних органов.
Последствиями болезни могут стать:
- исчезновение обоняния;
- нарушение вкуса;
- воспаление сердечной мышцы (миокардид);
- уплотнение структуры легочной ткани (легочный фиброз)
- сердечная недостаточность;
- воспаление слизистой оболочки кишечника;
- почечная недостаточность.
Теряли ли вы обоняние и вкус в период заражения COVID-19?
Да 73.23%
Нет 26.77%
Проголосовало: 68740
Избежать негативных последствий поможет своевременная диагностика, добросовестное лечение, качественное восстановление
Важно не заниматься самолечением, а обратиться за врачебной помощью
Коронавирусная пневмония губительно сказывается на всем организме. Медики изучили ее проявление с симптомами и без них, составили примерную схему терапии. Врачи могут представить развитие пневмонии при коронавирусе по дням. Это тяжелое заболевание дает большие осложнения, отражающиеся на работе всего организма. При первых признаках болезни нужно принимать меры, делать диагностику, советоваться с врачами. Запускать коронавирусную пневмонию нельзя, она грозит тяжелыми последствиями.
Читайте далее:
Симптомы двухсторонней пневмонии при коронавирусе у взрослых

Атипичная пневмония при коронавирусе

Может ли быть пневмония без температуры и без кашля при коронавирусе
Мне нравится26Не нравится9
Фильтр:
Все
Ждет ответа
СортировкаПросмотрыОтветовГолоса
Переносят ли комары коронавирус?
Фёдор Исаев 11 месяцев
59521 просм.
12 ответ.
-4 голос.
Можно ли носить контактные линзы при коронавирусе?
Дмитрий 11 месяцев
54158 просм.
8 ответ.
-17 голос.
Можно ли заразиться через открытую рану?
Мария 11 месяцев
52081 просм.
9 ответ.
-1 голос.
Как развивается пневмония при коронавирусе: симптомы у взрослых
Первично вирусная и обычная, или как её правильно называть бактериальная, пневмонии имеют принципиально отличные друг от друга признаки. Если вы будете знать, как понять, что начинается воспаление лёгких, то есть шанс, что сможете определить и вовремя распознать его клинические проявления
Обращая внимание на изменения в самочувствии при текущем ковиде-19 вы постараетесь не пропустить момент, когда вирус может начать поражать лёгкие, и своевременно обратитесь к специалистам, чтобы избежать осложнений и остановить пневмонию. Так какие особенности клинической картины отмечаются при коронавирусе у взрослого человека, а именно по каким симптомам можно узнать, что заболевание прогрессирует?
В момент, когда начинается вирусное поражение лёгочной ткани человек ощущает озноб и, самое главное, чувство нарастающей боли в грудной клетке и одышку, ограничивающую полноценный вдох. Нарастающая дыхательная недостаточность визуально проявляется синюшностью носогубной зоны, а там, где дислоцировано поражение альвеол – болят лёгкие. Какая при этом может быть температура или через сколько дней она появляется? У большинства пациентов сразу наблюдается резкий скачок температуры до 38,5-40°C. А бывает ли при ковиде пневмония без температуры? Да, такие случаи тоже не являются редкостью, чем и затрудняется её диагностика. Есть ли кашель и на какой день он возникает? После того, как патоген осел на слизистых верхних дыхательных путей, где произошла его репликация, он минует иммунную защиту и в короткие сроки внедряется в альвеолярные эпителиальные клетки, опускаясь в лёгкие. Таким образом развитие пневмонии при коронавирусе происходит на 3-5 день, а своего максимума достигает уже на 6-8 день от момента заражения. Быстро нарастающие симптомы означают переход инфекционно-воспалительного процесса в средний уровень тяжести. Но развитие заболевания не обязательно сопровождается кашлевым рефлексом. Однако статистикой отмечается, что вирусное воспаление лёгких без кашля протекает чаще не у взрослого населения, а у пожилого.
Важно! Если на данном этапе измерить уровень насыщения тканей кислородом при помощи пульсоксиметра, то он покажет сатурацию кислородом 93-95%.
Насколько серьезно поражение легких 25 процентов при коронавирусе

Насколько серьезно поражение легких на 25 процентов при коронавирусе, можно судить из общего состояния пациента во время протекания болезни, наличия у него хронических и сопутствующих заболеваний, образа жизни и вредных привычек.
Какие нетипичные симптомы коронавируса были у вас?
Болела спина 42.82%
Болели ноги 14.36%
Болела голова 28.14%
Болел живот 7.12%
Болело сердце 7.55%
Проголосовало: 53677
Считают, что поражение легких 25 процентов при коронавирусе (как лечить, врачи знают), это легкая степень. Дыхательные системы практически в полной мере выполняют свои функции. Но пораженная часть легких уже не способна участвовать в газообмене. При данном поражении также свойственны такие характерные симптомы, как:
- повышенная температура тела (около +37°С);
- частые головные боли;
- потеря обоняния и ощущения вкуса;
- сухой (реже, влажный) кашель.
ДЕЙСТВИТЕЛЬНО ЛИ ПНЕВМОНИЯ ИДЕТ СЛЕДОМ ЗА COVID-19
— В последнее время анализ статистических данных показывает, что медицинское сообщество ошибочно увлекается антибиотиками при лечении новой коронавирусной инфекции, предполагая, что изменения в легких сразу связаны не только с вирусом, но еще и с бактериальным компонентом. Это не верно, — считает врач-пульмонолог Владимир Бекетов.
По словам эксперта, на сегодняшний день ряд авторитетных медицинских ассоциаций выпустили меморандумы и открытые письма с призывами к коллегам уменьшить применение антибиотиков в ходе лечения COVID-19, потому что антибиотики не дают пользы, но приносят в данном случае вред, вплоть до токсического поражения печени и развития антибиотико-ассоциированной диареи.
— То есть, мы вроде бы пытаемся лечить пневмонию, которая в сознании врача прочно ассоциирована с бактериями, но на самом деле на этапе, пока присоединения вторичной пневмонии при ковиде нет, мы имеем дело только с коронавирусным поражением легких, которое рекомендовано не называть пневмонией, а называть пневмонитом (воспаление сосудистых стенок альвеол, а также ткани, отделяющей альвеолы от легких, которое сопровождается их рубцеванием, — прим. ред.), — говорит врач-пульмонолог Владимир Бекетов.
Сам феномен вторичной бактериальной пневмонии при коронавирусе переоценен, продолжает эксперт
Подобные процессы развиваются в основном у пациентов с сердечной недостаточностью, а для них действуют меры повышенной предосторожности, ограничения в передвижении, рекомендации по самоизоляции и лечению на дому
— Курильщики также в группе риска по возможности развития бактериальной пневмонии. Однако если курильщики с ХОБЛ получают грамотное ингаляционное лечение и привиты от пневмококка, то риски возникновения вторичной бактериальной пневмонии у них тоже минимизированы, — говорит Владимир Бекетов.
Можно ли полностью восстановить легкие после коронавируса

Несмотря на то, что природа заболевания и принципы ее протекания изучены не до конца, врачам и ученым удалось сделать определенные выводы о некоторых закономерностях, отследить динамику восстановления после того, как человек переболел коронавирусной инфекцией. Считают, что, при поражении легких до 50%, восстановить их возможно без последствий для организма и возникновения сопутствующих заболеваний.
Данные процентные соотношения варьируются в зависимости от:
- физической подготовленности организма;
- наличия вредных привычек;
- морально-психологического состояния заболевшего;
- объема выполнения пациентом всех требований и мероприятий, предписанных специалистами.
Необходимо понимать, что поражение легких 25 процентов при коронавирусе – это легкая форма. При правильном лечении, уходе и выполнении рекомендаций врачей, восстановление возможно без последствий. Тяжесть протекания болезни и длительность зависят от самого пациента, его желания выздороветь. Считают, что главное оружие против болезни – это профилактика. Необходимо в общественных местах носить маску и перчатки, пользоваться антисептиком, принимать витамины, без лишней необходимости не выходить из дома, соблюдать меры самоизоляции.
Читайте далее:

Поражение легких 60 процентов при коронавирусе
Поражение легких 40 процентов при коронавирусе

Поражение легких на 75 процентов при коронавирусе
Мне нравится21Не нравится9
Фильтр:
Все
Ждет ответа
СортировкаПросмотрыОтветовГолоса
Переносят ли комары коронавирус?
Фёдор Исаев 11 месяцев
59521 просм.
12 ответ.
-4 голос.
Можно ли носить контактные линзы при коронавирусе?
Дмитрий 11 месяцев
54158 просм.
8 ответ.
-17 голос.
Можно ли заразиться через открытую рану?
Мария 11 месяцев
52081 просм.
9 ответ.
-1 голос.
Какие антибиотики назначают при пневмонии и коронавирусе

Выбор антибактериального препарата для лечения коронавирусной пневмонии врачи делают индивидуально. В списке противомикробных средств представители нескольких групп:
- макролидов (Азитромицин, Кларитромицин);
- пенициллинов (Амоксициллин, Ампициллин);
- антипневмококковых фторхинолонов (Левофлоксацин, Моксифлоксацин);
- цефалоспоринов 3 поколения (Цефтриаксон, Цефотаксим).
Подбор стартового препарата осуществляют эмпирическим методом, параллельно образец крови направляют на бактериологический анализ чувствительности к антибиотикам. Если улучшение состояния на фоне выбранного антибиотика не наступает, препарат меняют.
Теряли ли вы обоняние и вкус в период заражения COVID-19?
Да 79.01%
Нет 20.99%
Проголосовало: 55424
Пневмония при COVID-19 – признаки воспаления легких
После начала заражения инфекция COVID-19 размножается на слизистой оболочке носоглотки до 7 дней. Уже спустя два дня можно почувствовать первые симптомы болезни. Начнется сухой кашель, нарушение обоняния, постоянная слабость, заложенность носа, субфебрильная температура. Интенсивность проявлений будет зависеть от возможностей иммунитета. Признаки воспаления легких начнутся спустя неделю от начала инфицирования. Если диагностирована пневмония при коронавирусе – симптомы у взрослых пациентов будут следующие:
- одышка с нарастанием;
- снижение артериального давления;
- сонливость, апатия;
- повышение температуры;
- болезненность в грудной клетке, которая становится сильнее при кашле;
- озноб;
- кашель с мокротой;
- повышенная потливость.

В некоторых случаях может возникать нервное возбуждение, развиваться панические атаки у людей, склонных к таким проявлениям.
КАК РАЗВИВАЕТСЯ ПНЕВМОНИЯ
В условиях, сниженной дыхательной и двигательной активности, когда слизь по бронхам движется меньше, на фоне интоксикации организма и снижения иммунитета, бактерии из носоглотки спускаются в нижние отделы дыхательного тракта и могут начать там размножаться.
Таким образом, может быть вызван сначала бактериальный бронхит, потом и бронхопневмония с переходом в пневмонию. Развитию бактериальной пневмонии может способствовать и длительное нахождение пациента на аппарате ИВЛ. Не смотря на соблюдение всех строжайших мер обеззараживания аппараты ИВЛ являются факторами риска возникновения вентилятор-ассоциированных пневмоний.
ЧЕМ ДОЛЬШЕ ТЕЧЕНИЕ БОЛЕЗНИ, ТЕМ БОЛЬШЕ ФИБРОЗНЫЕ ИЗМЕНЕНИЯ
— От врачей сейчас часто можно услышать: о коронавирусной инфекции мы пока знаем мало, и непонятно, что дальше будет с легкими у переболевших.
— На самом деле сейчас мы можем ориентироваться на опыт предыдущих вспышек коронавирусов — SARS, или атипичной пневмонии, в 2002 — 2003 гг. и MERS, или Ближневосточного респираторного синдрома, в 2012 — 2013 гг. Срок наблюдения за пациентами, перенесшими эти виды коронавирусной инфекции, уже достаточно большой. В то время как срок нашего знакомства с COVID-19 всего около полугода.
Поэтому мы можем экстраполировать, то есть переносить данные предыдущих наблюдений на нынешнюю ситуацию. Если говорить об оценках последствий и конкретных цифрах, то большую роль играет тяжесть состояния, в котором госпитализировались пациенты. От этого зачастую зависят и шансы выжить, и частота и масштаб фиброзных изменений в легких. По разным данным, у пациентов с SARS такие изменения в легких встречались в 10 — 20% случаев (как раз в зависимости от тяжести состояния).
— И как долго сохранялись фиброзные изменения в легких?
— Есть наблюдения, что у части пациентов неблагоприятные изменения сохранялись через 9 месяцев после выписки из госпиталя. При этом выраженность фиброза зависела от длительности заболевания и его лечения. Чем дольше течение болезни, тем выше вероятность того, что у человека будут фиброзные изменения.
Полисегментарная вирусная пневмония
Если на КТ выявлено, что воспалительные очаги и инфильтраты присутствуют не в одном сегменте легкого, а в нескольких, такую пневмонию называют полисегментарной.
Подробнее о полисигментарной пневмонии
Легкие принято визуально делить на 21 сегмент — 11 с правой и 10 с левой стороны. Двусторонняя пневмония вирусного происхождения встречается наиболее часто. Например, «матовые стекла» при коронавирусной пневмонии обычно локализуются симметрично с обеих сторон вокруг бронхов или в боковых отделах легких. При пневмоцистной и гриппозной пневмонии они расположены с двух сторон диффузно.
Как делают КТ легких при коронавирусе
Специальная предварительная подготовка к исследованию не требуется. Перед процедурой пациенту необходимо снять все металлические предметы и украшения, поскольку они ослабляют рентгеновские лучи. Затем пациента приглашают в процедурную, тот ложится на диагностический стол. Медицинская сестра включает томограф, и стол постепенно движется к гентри — раме томографа, оснащенной чувствительными датчиками. Гентри сканера вращается вокруг грудной клетки и делает множество сканов (снимков). Все это время сохраняется обратная связь врача-рентгенолога с пациентом. КТ легких делают на вдохе, пациент на несколько секунд задерживает дыхание. Затем изображения обрабатываются на компьютере — программа делает объемную 3D-реконструкцию внутренних органов. Врач-рентгенолог изучает полученные данные, записывает томограмму на диск и готовит заключение.

Текст подготовил

Котов Максим Анатольевич, главный врач центра КТ «Ами», кандидат медицинских наук, доцент. Стаж 19 лет
Список источников
- Котов М.А. Опыт применения компьютерной томографии в диагностике заболеваний органов дыхания у детей / Материалы X Невского радиологического Форума (НРФ-2018). – СПб., 2018, Лучевая диагностика и терапия. 2018. № 1 (9). — С. 149.
- Панов А.А. Пневмония: классификация, этиология, клиника, диагностика, лечение, 2020.
- Бова А.А. Пневмонии: этиология, патогенез, клиника, диагностика, 2016.
- Chl Hong, M.M Aung , K. Kanagasabai , C.A. Lim , S. Liang , K.S Tan. The association between oral health status and respiratory pathogen colonization with pneumonia risk in institutionalized adults, 2018.
- Yang-Pei Chang, Chih-Jen Yang, Kai-Fang Hu, A-Ching Chao, Yu-Han Chang, Kun-Pin Hsieh, Jui-Hsiu Tsai, Pei-Shan Ho, Shen-Yang Lim. Risk factors for pneumonia among patients with Parkinson’s disease: a Taiwan nationwide population-based study, 2016.
- Клинические рекомендации по диагностике, лечению и профилактике тяжелой внебольничной пневмонии у взрослых. Министерство здравоохранения РФ, 2019.
Что еще показывает КТ легких?
Помимо пневмоний, КТ грудной клетки показывает туберкулез, опухоли легких и средостения, заболевания (лимфоаденопатию) средостения, тимомы и другие новообразования средостения. В этом случае диагностика мягких тканей с помощью компьютерной томографии даже предпочтительнее МРТ легких. Также КТ грудной клетки делают после травм, переломов ребер и грудного отдела позвоночника для оценки повреждений. КТ грудной клетки с контрастом позволяет дополнительно визуализировать сосуды. В рамках исследования с контрастным усилением врач может увидеть и детально оценить тромбоэмболии легочной артерии, опухоли легких, грудную аорту.


















































